Our Services
Since our primary goal is a long lasting, comfortable relationship, we believe in a comprehensive approach for dental care. The earlier the child sees the pediatric dentist the easier it is for the child to get acclimated to the dental environment. Early preventive dental care for the child and early dental education to parent may prevent costly dental treatment later in the life of your child.
We offer some SPECIALS for New Patients!!
- FREE 1st visit; birth to 18 months of age ($111 value)
- Well Baby Visit; 18 months to age 3. Includes exam, cleaning & Fluoride for $50.00 ($213 value)

We provide many pediatric dental services such as:
- Teeth cleaning
- Complete oral exam
- Oral hygiene instructions
- White fillings
- Silver fillings
- Dental fissure sealants to prevent tooth decay
- Cosmetic bonding
- Microabrasion for discolored teeth
- Teeth extraction
- Prosthetics
- Sedation with Nitrous Oxide (laughing gas)
- Referral to a network of dental and medical specialist and hospitals
We are here to serve your child and provide him/ her a comprehensive oral health care. Thank you!
Before and After Photos

Cosmetic Restoration
Before

Cosmetic Restoration
After

Fractured Tooth
Before

Fractured Tooth
After

An upper fractured incisor due to trauma
Before

An upper fractured incisor due to trauma
After

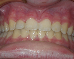
Black staining on teeth
Before

Black staining on teeth
After


Cosmetic Resoration
Before

Cosmetic Resoration
After
